История Адили
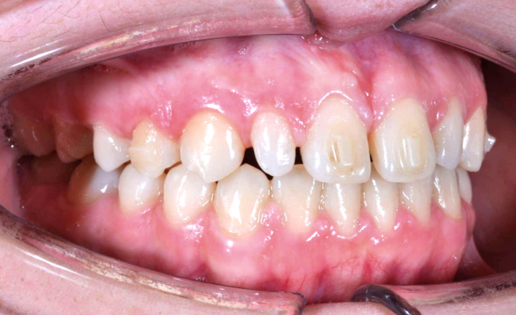
До
После
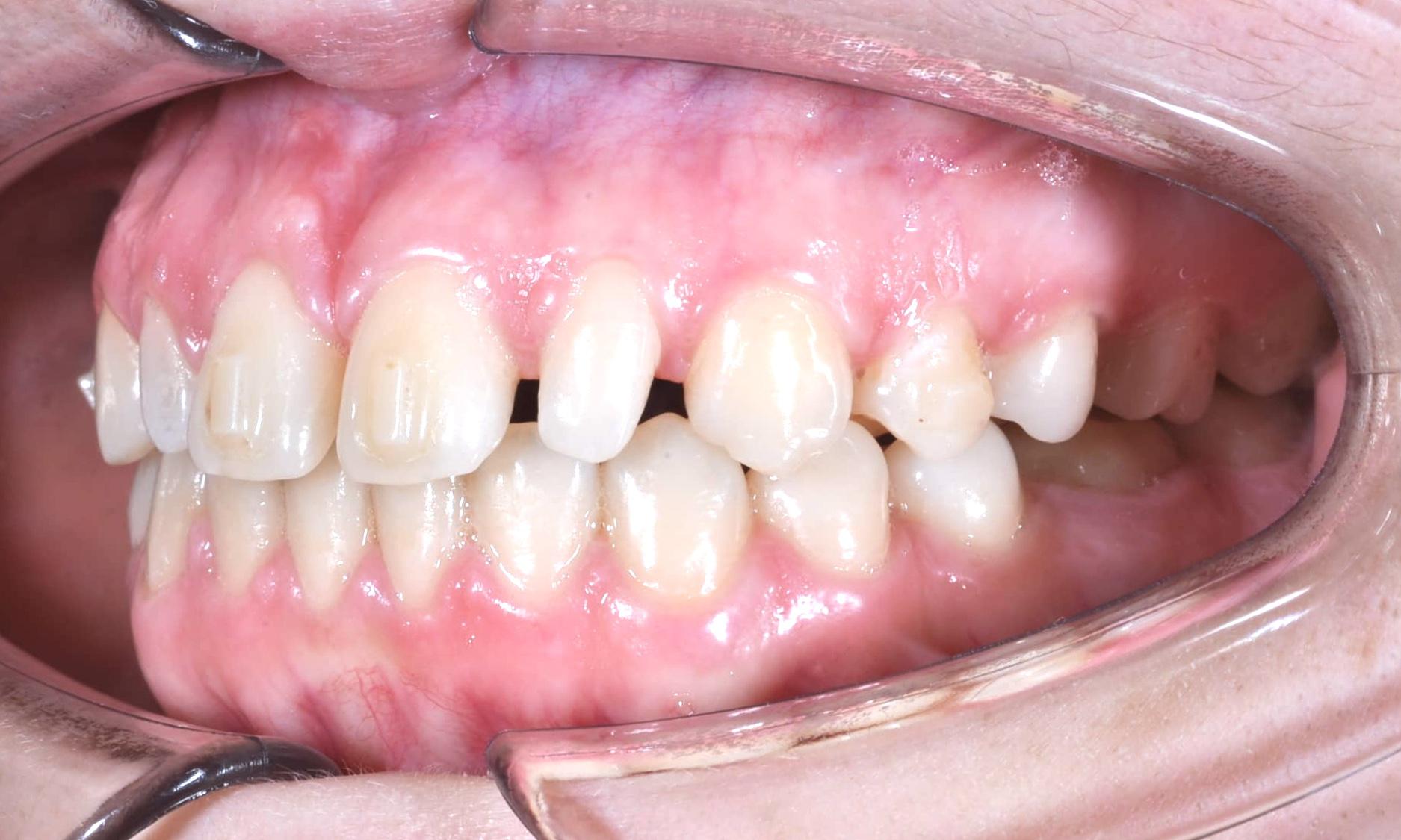
Исходная ситуация
Адиля обратилась в клинику «Архитектор Улыбок» с проблемой, которая тянулась еще с детства.
Основная жалоба
Эстетическая неудовлетворенность. Адилю смущала ее улыбка из-за микродентии — анатомически маленьких зубов.
Психологический дискомфорт
Из-за особенности строения зубов пациентка чувствовала себя скованно, стеснялась широко улыбаться в повседневной жизни и на фото.
Физический дискомфорт
Кроме нарушений эстетики у нее были сложности с функцией — дискомфорт и трудности при откусывании твердой пищи.
Над улыбкой работали:
История Адили
Исходная ситуация
Адиля обратилась в клинику «Архитектор Улыбок» с проблемой, которая тянулась еще с детства.
Основная жалоба
Эстетическая неудовлетворенность. Адилю смущала ее улыбка из-за микродентии — анатомически маленьких зубов.
Психологический дискомфорт
Из-за особенности строения зубов пациентка чувствовала себя скованно, стеснялась широко улыбаться в повседневной жизни и на фото.
Физический дискомфорт
Кроме нарушений эстетики у нее были сложности с функцией — дискомфорт и трудности при откусывании твердой пищи.
Над улыбкой работали:
До
После
Как мы помогли пациенту
В «Архитектор Улыбок» не подходят к лечению шаблонно. Первым делом мы провели комплексную диагностику, чтобы разобраться в ситуации детально.
До
Этап №1
Диагностика и планирование
Диагностика и планирование
Составили детальный, поэтапный план лечения.
Главная цель была не просто «сделать красиво», а восстановить правильную функцию жевания и создать идеальную эстетику, учитывая анатомию зубов пациентки.
Главная цель была не просто «сделать красиво», а восстановить правильную функцию жевания и создать идеальную эстетику, учитывая анатомию зубов пациентки.
Как мы помогли пациенту
В «Архитектор Улыбок» не подходят к лечению шаблонно. Первым делом мы провели комплексную диагностику, чтобы разобраться в ситуации детально.
Этап №1
Диагностика и планирование
Диагностика и планирование
Составили детальный, поэтапный план лечения.
Главная цель была не просто «сделать красиво», а восстановить правильную функцию жевания и создать идеальную эстетику, учитывая анатомию зубов пациентки.
Главная цель была не просто «сделать красиво», а восстановить правильную функцию жевания и создать идеальную эстетику, учитывая анатомию зубов пациентки.
До
До
После
До
После
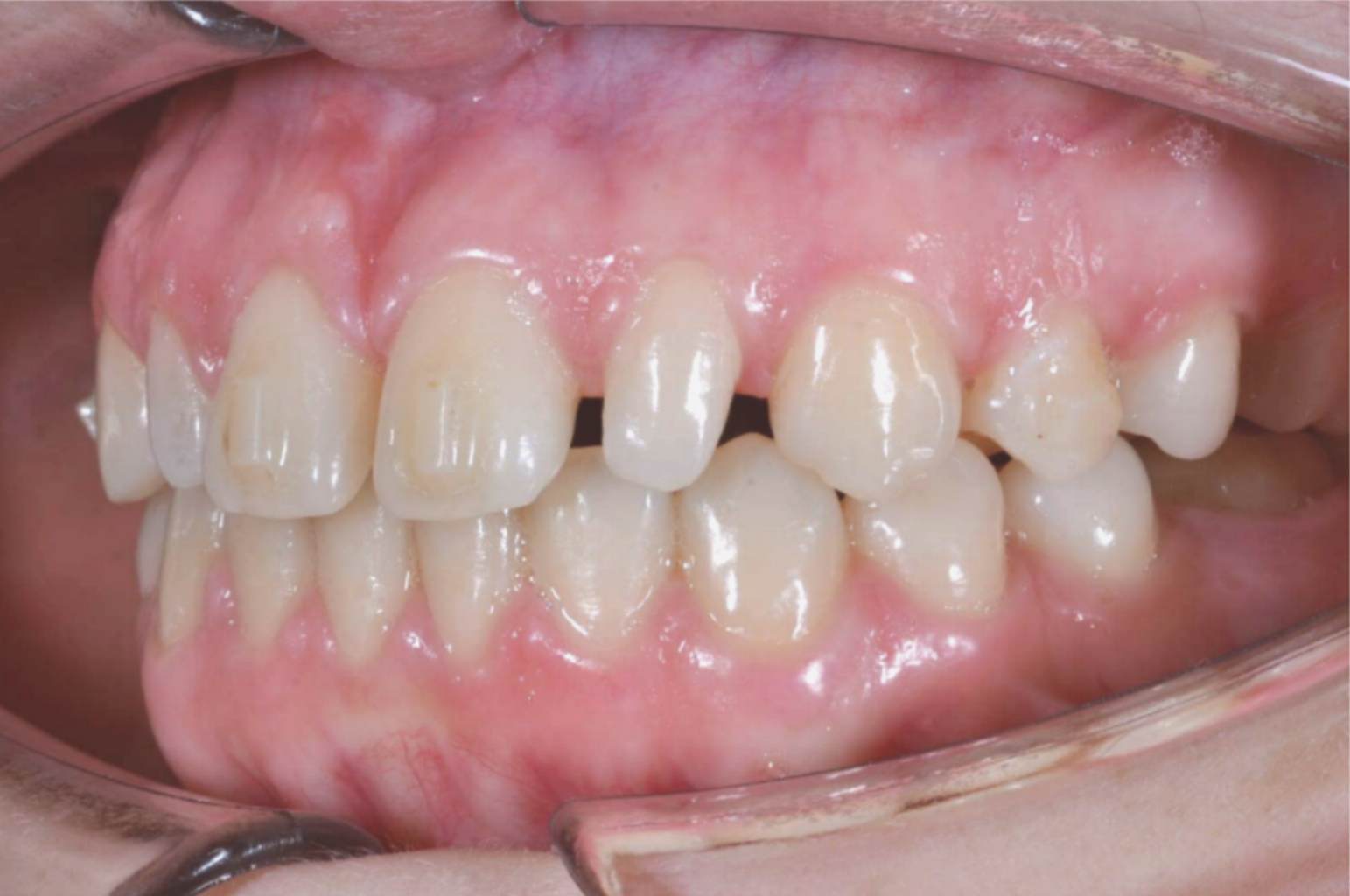
Этап №2
Ортодонтическая подготовка
Ортодонтическая подготовка
Чтобы виниры встали идеально и служили долго, сначала необходимо было исправить прикус и выровнять зубы.
Лечение проходило на современной самолигирующей брекет-системе.
Лечение проходило на современной самолигирующей брекет-системе.
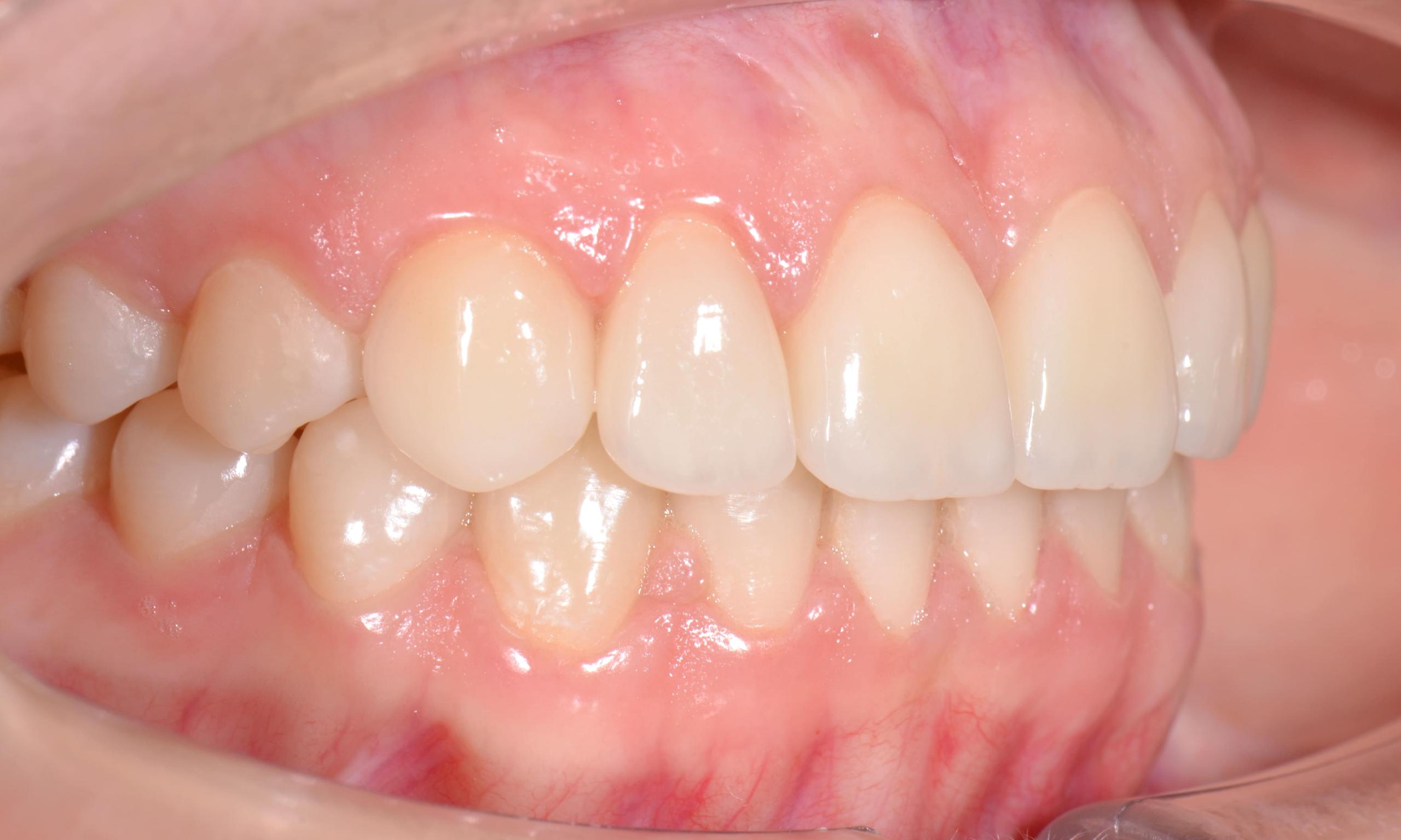
Этап №3
Эстетическая реставрация
Эстетическая реставрация
После того как зубы заняли правильное положение, мы приступили к финальному этапу — установке керамических виниров. Реставрации были изготовлены с учетом индивидуальных особенностей смыкания зубов (в прикус).
Этап №3
Эстетическая реставрация
Эстетическая реставрация
После того как зубы заняли правильное положение, мы приступили к финальному этапу — установке керамических виниров.
Реставрации были изготовлены с учетом индивидуальных особенностей смыкания зубов (в прикус).
Реставрации были изготовлены с учетом индивидуальных особенностей смыкания зубов (в прикус).
До
После
До
После
До
После
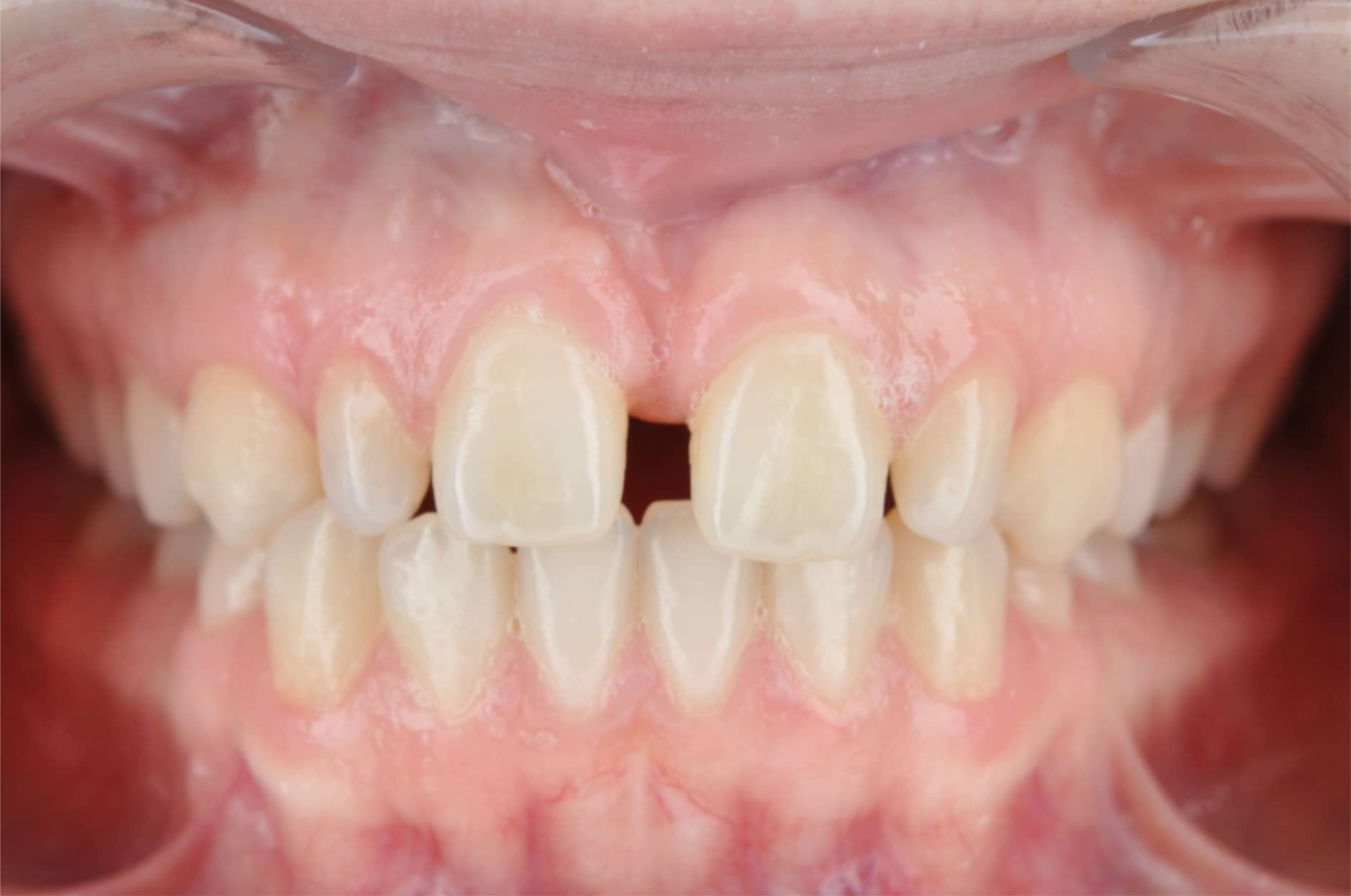
Результаты комплексного лечения
Индивидуальный подход и слаженная работа команды врачей «Архитектор Улыбок» дали потрясающий результат.
Здоровая улыбка
У Адили теперь не только эстетичная, но и здоровая улыбка. Прикус исправлен, ушел дискомфорт в процессе приема пищи.
Правильные пропорции
Улыбка обрела гармоничные пропорции. Мы закрыли проблему микродентии, увеличив объем зубов с помощью керамики до анатомически их правильной формы.
Счастье пациента
Но главный результат для нас — счастье пациента. Адиля перестала стесняться, она стала улыбаться чаще и ее жизнь заиграла новыми яркими красками!
До
После
Результаты
комплексного лечения
комплексного лечения
Индивидуальный подход и слаженная работа команды врачей «Архитектор Улыбок» дали потрясающий результат.
Здоровая улыбка
У Адили теперь не только эстетичная, но и здоровая улыбка. Прикус исправлен, ушел дискомфорт в процессе приема пищи.
Правильные пропорции
Улыбка обрела гармоничные пропорции. Мы закрыли проблему микродентии, увеличив объем зубов с помощью керамики до анатомически их правильной формы.
Счастье пациента
Но главный результат для нас — счастье пациента. Адиля перестала стесняться, она стала улыбаться чаще и ее жизнь заиграла новыми яркими красками!
До
После
Наши опытные специалисты проведут тщательную диагностику и осмотр,
ответят на все Ваши вопросы и предложат оптимальные варианты лечения
с фиксированной стоимостью «под ключ».
ответят на все Ваши вопросы и предложат оптимальные варианты лечения
с фиксированной стоимостью «под ключ».
У вас похожий случай?
Команда «Архитектор Улыбок» поможет Вам
обрести красивую и здоровую улыбку мечты!
Команда «Архитектор Улыбок» поможет Вам
обрести красивую и здоровую улыбку мечты!
У вас похожий случай?
Команда «Архитектор Улыбок» поможет Вам обрести красивую и здоровую улыбку мечты!
Команда «Архитектор Улыбок» поможет Вам обрести красивую и здоровую улыбку мечты!
КОНТАКТЫ
Режим работы:
Пн. - Сб. с 9:00 до 20:00
Вс. - выходной
Пн. - Сб. с 9:00 до 20:00
Вс. - выходной
Адрес: Казань, ул. Аделя Кутуя, 145Б, корп. 2
ИМЕЮТСЯ ПРОТИВОПОКАЗАНИЯ.
НЕОБХОДИМА КОНСУЛЬТАЦИЯ СПЕЦИАЛИСТА.
Все права на публикуемые материалы на сайте принадлежат ООО «Альбина». Посоветуйтесь с врачом. Информация, размещенная
на сайте не должна использоваться для самостоятельной диагностики и лечения и не заменяет очную консультацию врача.
Указанные на сайте цены не являются публичной офертой.
ООО «Альбина» Политика конфиденциальности. Согласие на обработку персональных данных. Лицензии.
НЕОБХОДИМА КОНСУЛЬТАЦИЯ СПЕЦИАЛИСТА.
Все права на публикуемые материалы на сайте принадлежат ООО «Альбина». Посоветуйтесь с врачом. Информация, размещенная
на сайте не должна использоваться для самостоятельной диагностики и лечения и не заменяет очную консультацию врача.
Указанные на сайте цены не являются публичной офертой.
ООО «Альбина» Политика конфиденциальности. Согласие на обработку персональных данных. Лицензии.
Текст обладает структурой