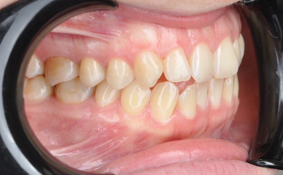
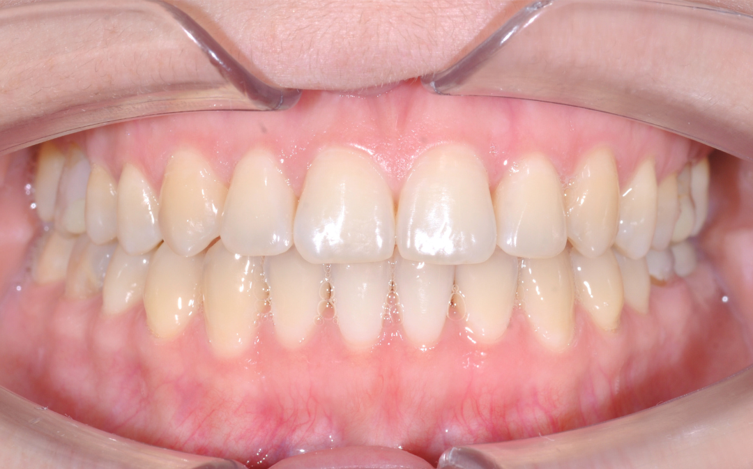
История пациента
До
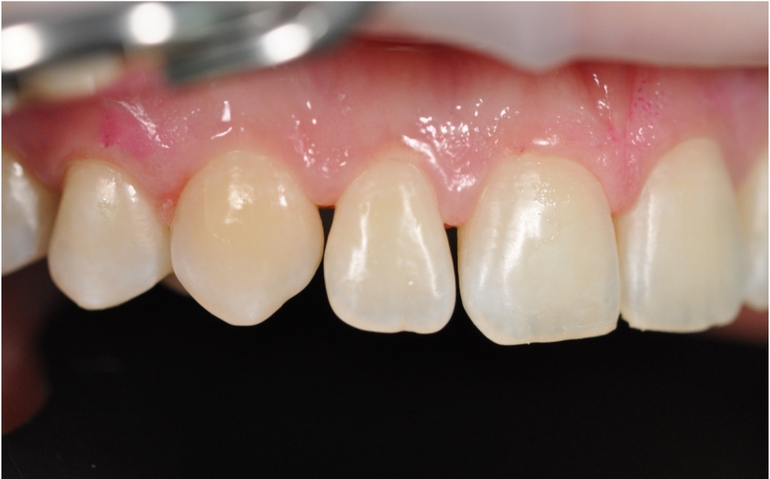
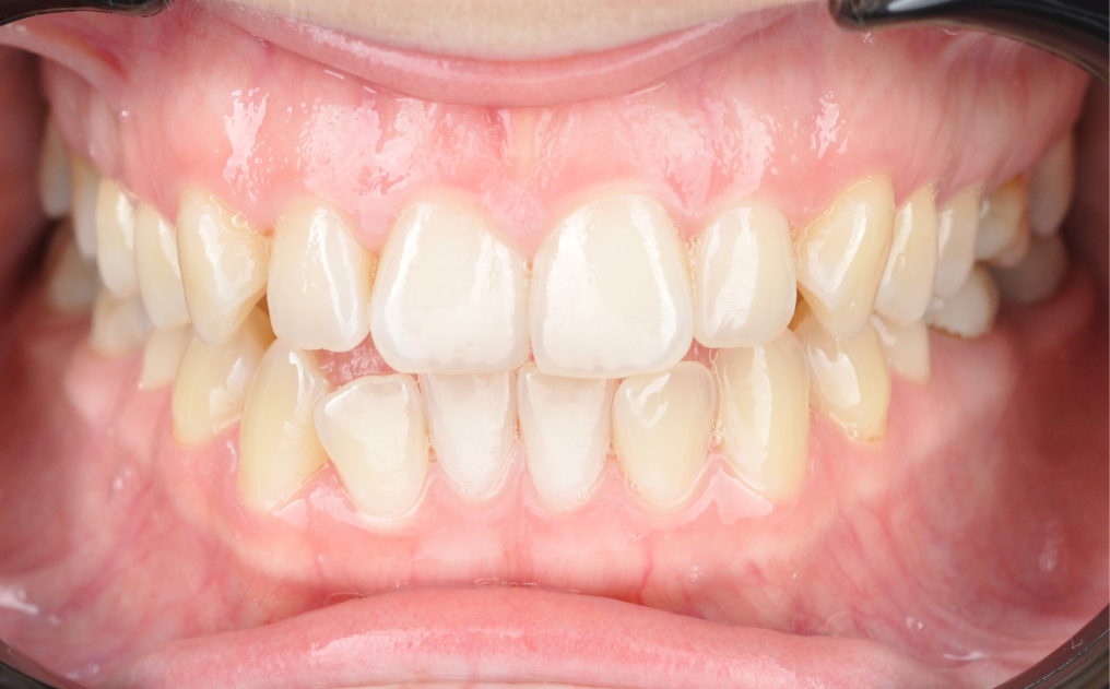
После
Над улыбкой работали:
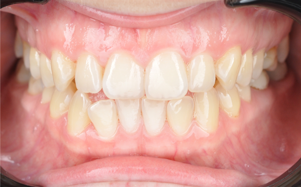
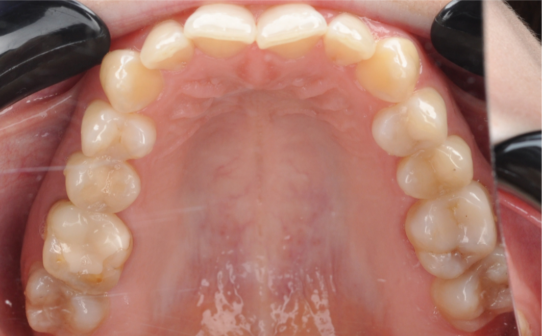
Исходная ситуация
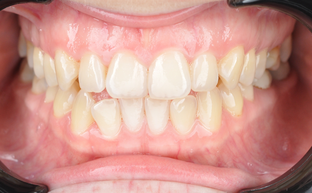
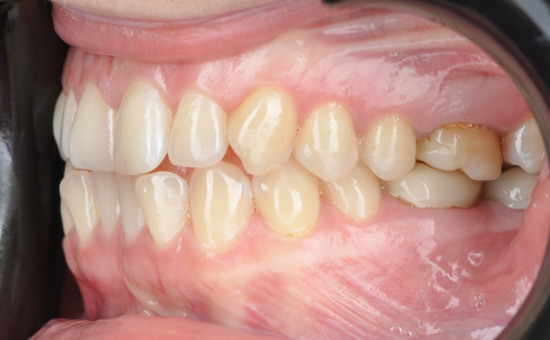
Пациентка обратилась в центр комплексной стоматологии «Архитектор Улыбок» с комплексной жалобой, которая затрагивала не только эстетику, но и здоровье всей зубочелюстной системы в целом.
Основная жалоба
Проблемы с височно-нижнечелюстным суставом (ВНЧС). Пациентка испытывала выраженный дискомфорт в суставной области.
Функциональные нарушения
Наблюдались сложности и боль в процессе жевания, что существенно снижало качество жизни.
Эстетические нарушения
Помимо физического дискомфорта, пациентку не устраивала эстетика улыбки. В частности, форма и положение зубов.
История пациента
Исходная ситуация
Пациентка обратилась в центр комплексной стоматологии «Архитектор Улыбок» с комплексной жалобой, которая затрагивала не только эстетику, но и здоровье всей зубочелюстной системы в целом.
Основная жалоба
Проблемы с височно-нижнечелюстным суставом (ВНЧС). Пациентка испытывала выраженный дискомфорт
в суставной области.
в суставной области.
Функциональные нарушения
Наблюдались сложности и боль
в процессе жевания, что существенно снижало качество жизни.
в процессе жевания, что существенно снижало качество жизни.
Эстетические нарушения
Помимо физического дискомфорта, пациентку не устраивала эстетика улыбки. В частности, форма и положение зубов.
До
После
Над улыбкой работали:
Как мы помогли пациенту
В этом клиническом случае нельзя было «просто поставить брекеты». Для стабильного результата в будущем потребовалась стабилизация прикуса и сустава в первую очередь.
До
Этап №1
Диагностика и планирование
Диагностика и планирование
Мы составили комплексный план лечения, отталкиваясь от состояния сустава и мышц, а не только от зубного ряда.
Как мы помогли пациенту
В этом клиническом случае нельзя было «просто поставить брекеты».
Для стабильного результата в будущем потребовалась стабилизация прикуса и сустава в первую очередь.
Для стабильного результата в будущем потребовалась стабилизация прикуса и сустава в первую очередь.
Этап №1
Диагностика и планирование
Диагностика и планирование
Мы составили комплексный план лечения, отталкиваясь от состояния сустава и мышц, а не только от зубного ряда.
До
Этап №2
Снятие острых симптомов
(сплинт-терапия)
Снятие острых симптомов
(сплинт-терапия)
Ортопед-гнатолог установил специальные накладки и изготовили миорелаксирующий сплинт (каппу).
Это позволило:
Это позволило:
- Снять мышечные спазмы и хроническую боль.
- Стабилизировать положение нижней челюсти.
- Подготовить челюсти к ортодонтическому этапу.
Этап №2
Снятие острых симптомов
(сплинт-терапия)
Снятие острых симптомов
(сплинт-терапия)
Ортопед-гнатолог установил специальные накладки и изготовили миорелаксирующий сплинт (каппу).
Это позволило:
Это позволило:
- Снять мышечные спазмы и хроническую боль.
- Стабилизировать положение нижней челюсти.
- Подготовить челюсти
к ортодонтическому этапу.
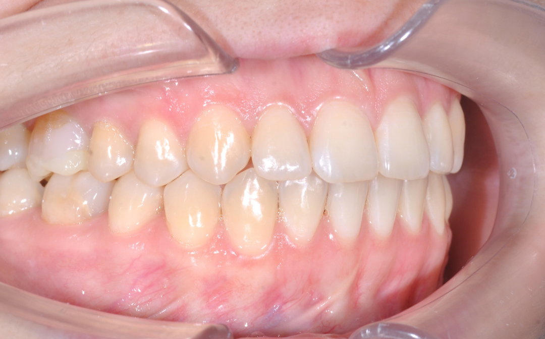
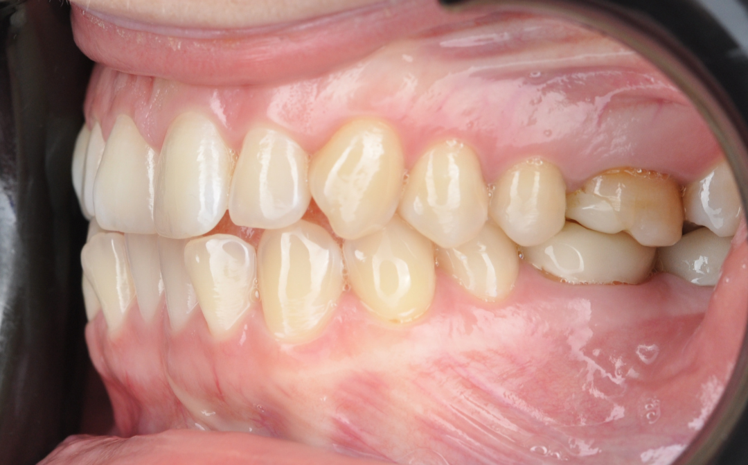
Этап №3
Ортодонтическая коррекция.
Ортодонтическая коррекция.
Стоматолог-ортодонт зафиксировал комбинированную брекет-систему (сверху керамические, а снизу – металлические брекеты).
Ключевые задачи ортодонта:
Ключевые задачи ортодонта:
- Исправление прямого прикуса (одной из частых причин дисфункции ВНЧС).
- Изменение положения зубов.
- Доведение контактов челюстей до физиологически правильного смыкания.
Стоматолог-ортодонт зафиксировал комбинированную брекет-систему (сверху керамические, а снизу – металлические брекеты).
Ключевые задачи ортодонта:
Ключевые задачи ортодонта:
- Исправление прямого прикуса
(одной из частых причин дисфункции ВНЧС). - Изменение положения зубов.
- Доведение контактов челюстей
до физиологически правильного смыкания.
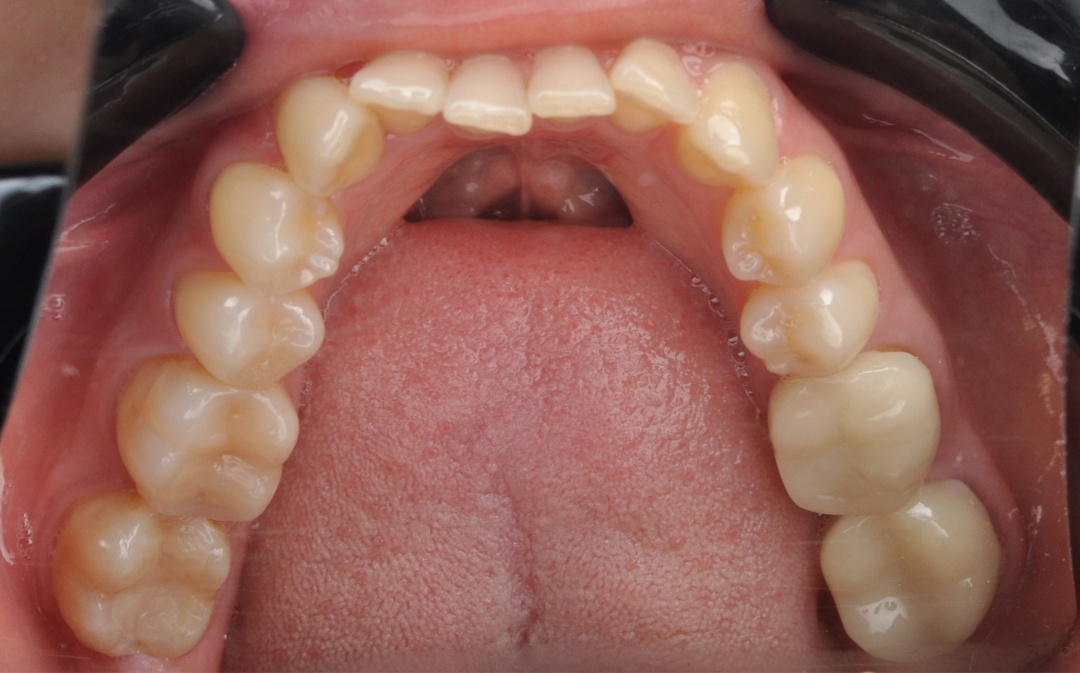
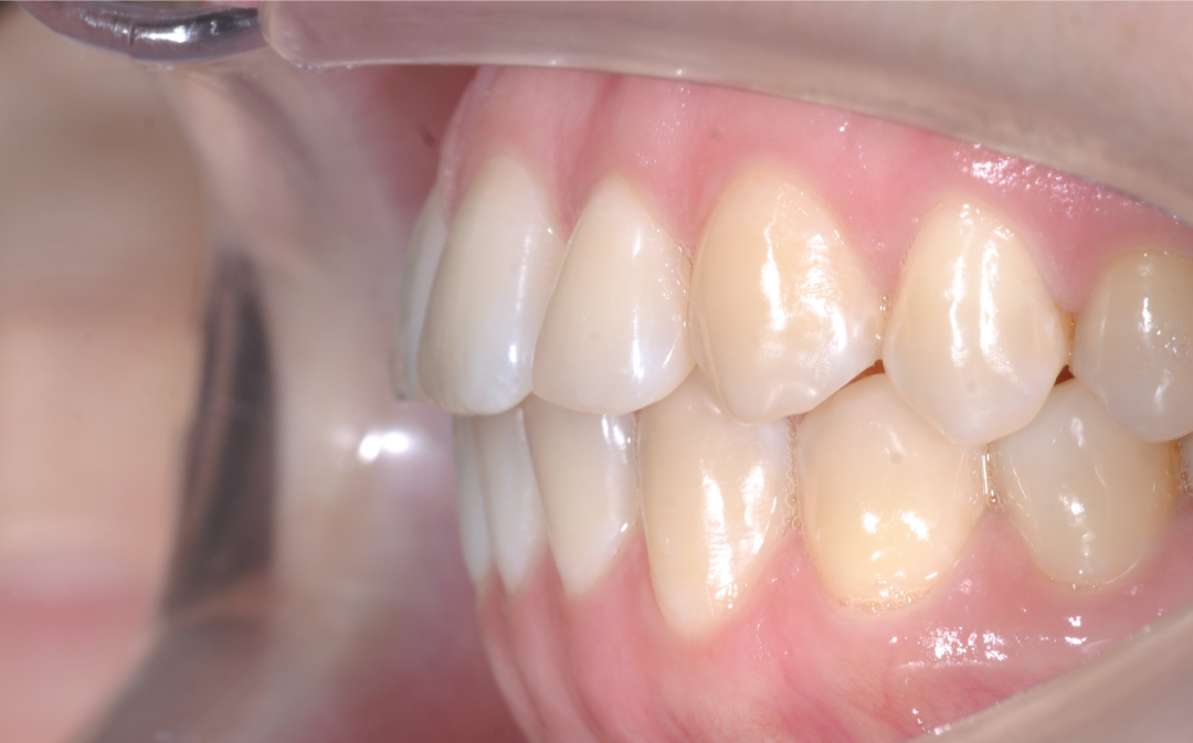
До
После
До
После
До
После
До
После
До
После
До
После
До
После
До
После
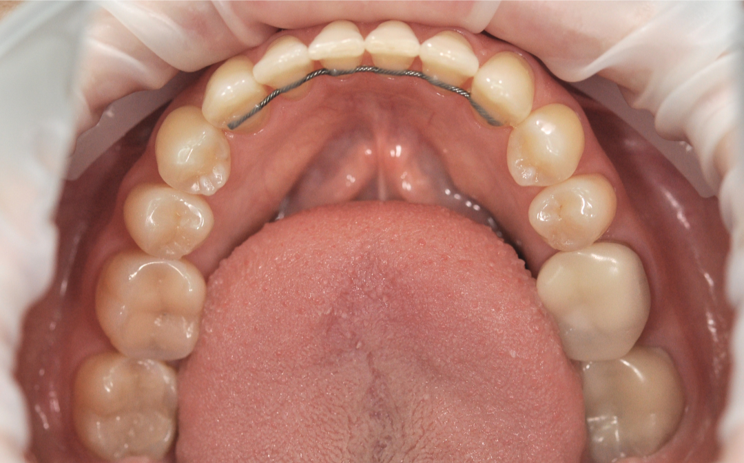
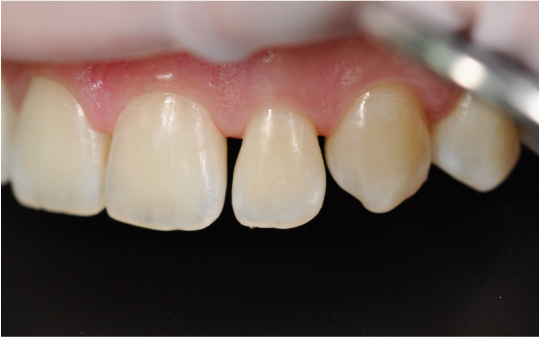
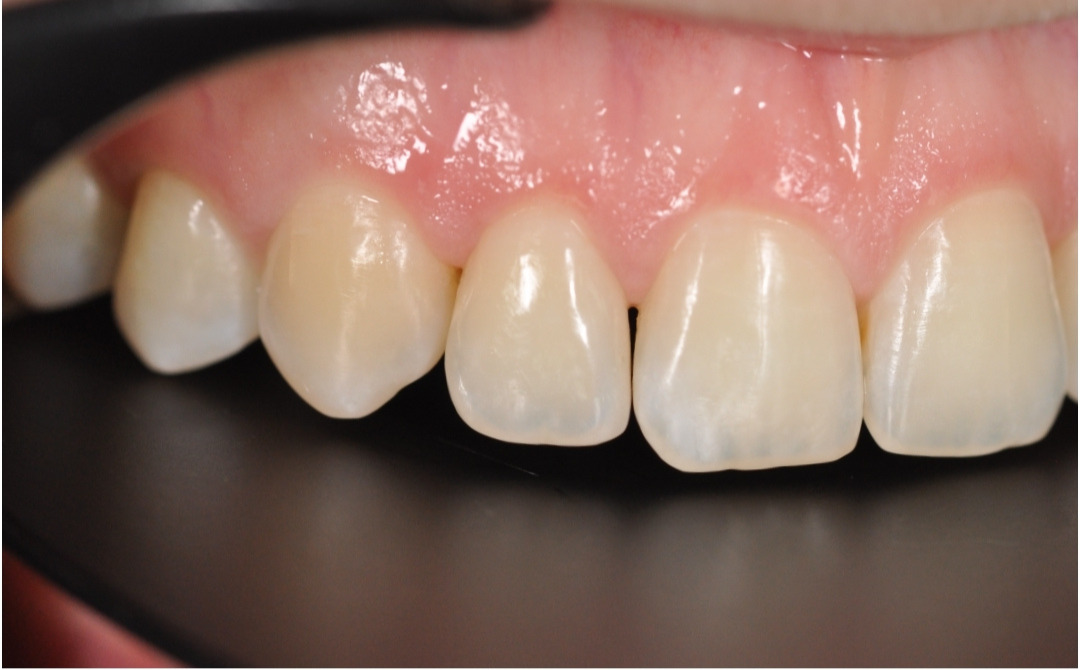
Этап №4
Финишная реставрация.
Финишная реставрация.
После снятия брекет-системы стоматолог-терапевт провела художественную реставрацию формы боковых резцов, добившись идеальной гармонии и естественности улыбки.
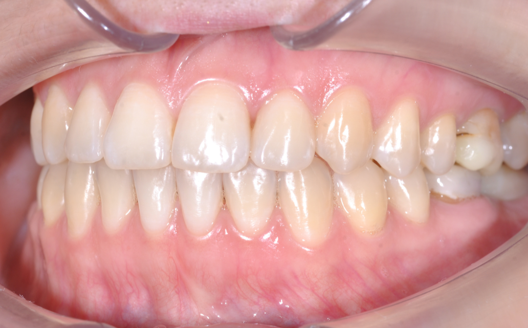
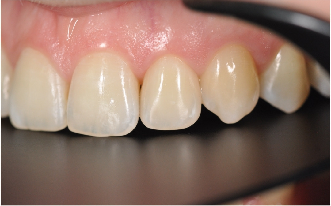
Результаты комплексного лечения
До
После
Комплексный подход команды «Архитектор Улыбок» дал закономерный результат, который был спрогнозирован еще
до старта лечения.
до старта лечения.
Здоровая улыбка
Ушел дискомфорт в суставе, исчезли боли в процессе жевания. Нижняя челюсть заняла стабильное, физиологичное положение.
Восстановилась функция
Качество жевания кардинально повысилось, процесс приема пищи снова стал комфортным.
Эстетика
Исправлен прямой прикус, восстановлена форма резцов, а улыбка стала не только красивой, но и здоровой с точки зрения биомеханики.
Результаты комплексного лечения
Комплексный подход команды «Архитектор Улыбок» дал закономерный результат, который был спрогнозирован еще
до старта лечения.
до старта лечения.
Здоровая улыбка
Ушел дискомфорт в суставе, исчезли боли в процессе жевания. Нижняя челюсть заняла стабильное, физиологичное положение.
Восстановилась функция
Качество жевания кардинально повысилось, процесс приема пищи снова стал комфортным.
Эстетика
Исправлен прямой прикус, восстановлена форма резцов, а улыбка стала не только красивой, но и здоровой с точки зрения биомеханики.
До
После
Наши опытные специалисты проведут тщательную диагностику и осмотр,
ответят на все Ваши вопросы и предложат оптимальные варианты лечения
с фиксированной стоимостью «под ключ».
ответят на все Ваши вопросы и предложат оптимальные варианты лечения
с фиксированной стоимостью «под ключ».
У вас похожий случай?
Команда «Архитектор Улыбок» поможет Вам
обрести красивую и здоровую улыбку мечты!
Команда «Архитектор Улыбок» поможет Вам
обрести красивую и здоровую улыбку мечты!
У вас похожий случай?
Команда «Архитектор Улыбок» поможет Вам обрести красивую и здоровую улыбку мечты!
Команда «Архитектор Улыбок» поможет Вам обрести красивую и здоровую улыбку мечты!
КОНТАКТЫ
Режим работы:
Пн. - Сб. с 9:00 до 20:00
Вс. - выходной
Пн. - Сб. с 9:00 до 20:00
Вс. - выходной
Адрес: Казань, ул. Аделя Кутуя, 145Б, корп. 2
ИМЕЮТСЯ ПРОТИВОПОКАЗАНИЯ.
НЕОБХОДИМА КОНСУЛЬТАЦИЯ СПЕЦИАЛИСТА.
Все права на публикуемые материалы на сайте принадлежат ООО «Альбина». Посоветуйтесь с врачом. Информация, размещенная
на сайте не должна использоваться для самостоятельной диагностики и лечения и не заменяет очную консультацию врача.
Указанные на сайте цены не являются публичной офертой.
ООО «Альбина» Политика конфиденциальности. Согласие на обработку персональных данных. Лицензии.
НЕОБХОДИМА КОНСУЛЬТАЦИЯ СПЕЦИАЛИСТА.
Все права на публикуемые материалы на сайте принадлежат ООО «Альбина». Посоветуйтесь с врачом. Информация, размещенная
на сайте не должна использоваться для самостоятельной диагностики и лечения и не заменяет очную консультацию врача.
Указанные на сайте цены не являются публичной офертой.
ООО «Альбина» Политика конфиденциальности. Согласие на обработку персональных данных. Лицензии.
Текст обладает структурой