История Адили
Исходная ситуация
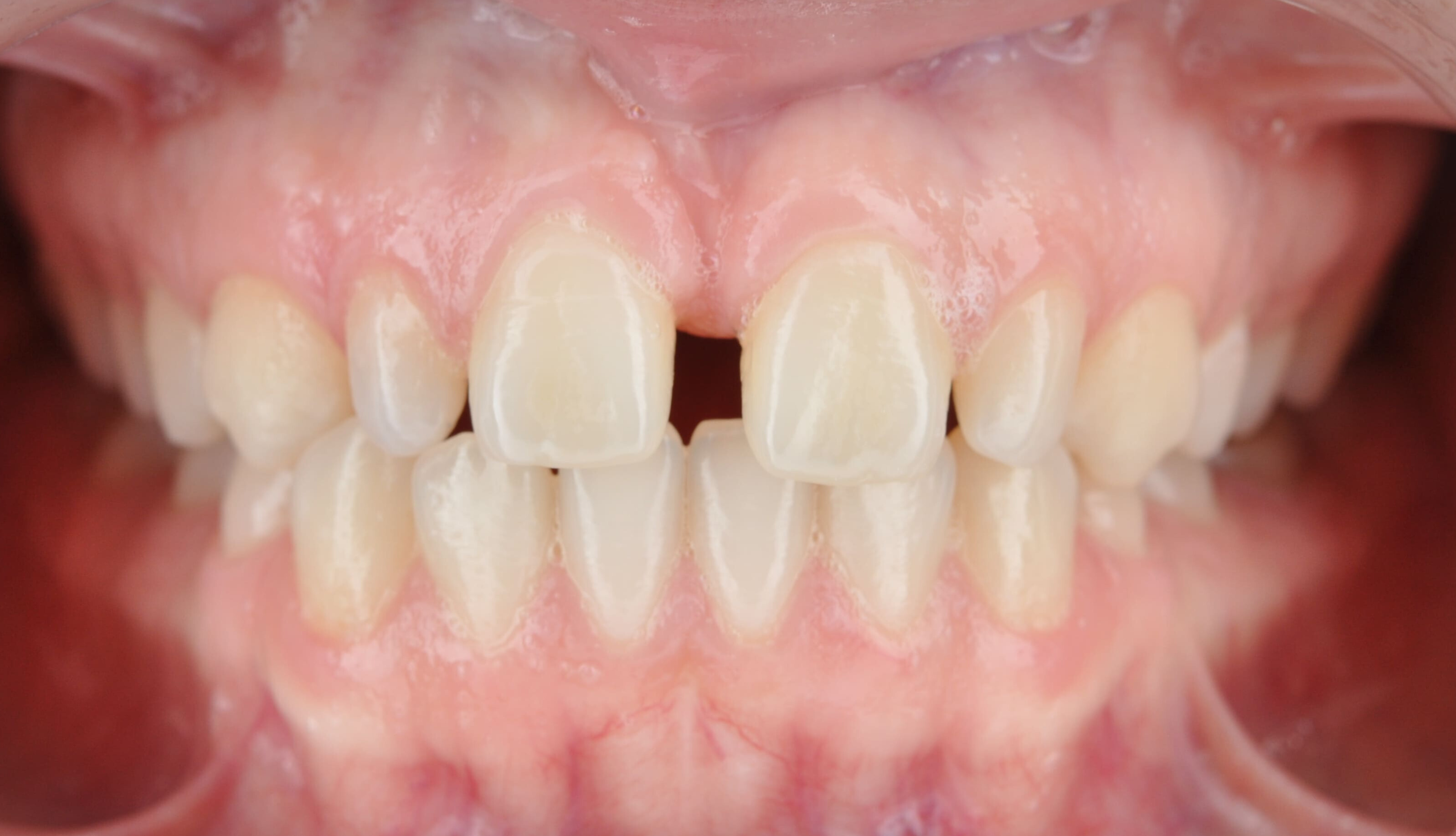
Адиля обратилась в клинику «Архитектор Улыбок» с проблемой, которая тянулась еще с детства.
Основная жалоба
Эстетическая неудовлетворенность. Адилю смущала ее улыбка из-за микродентии — анатомически маленьких зубов.
Психологический дискомфорт
Из-за особенности строения зубов пациентка чувствовала себя скованно, стеснялась широко улыбаться в повседневной жизни и на фото.
Физический дискомфорт
Кроме нарушений эстетики у нее были сложности с функцией — дискомфорт и трудности при откусывании твердой пищи.
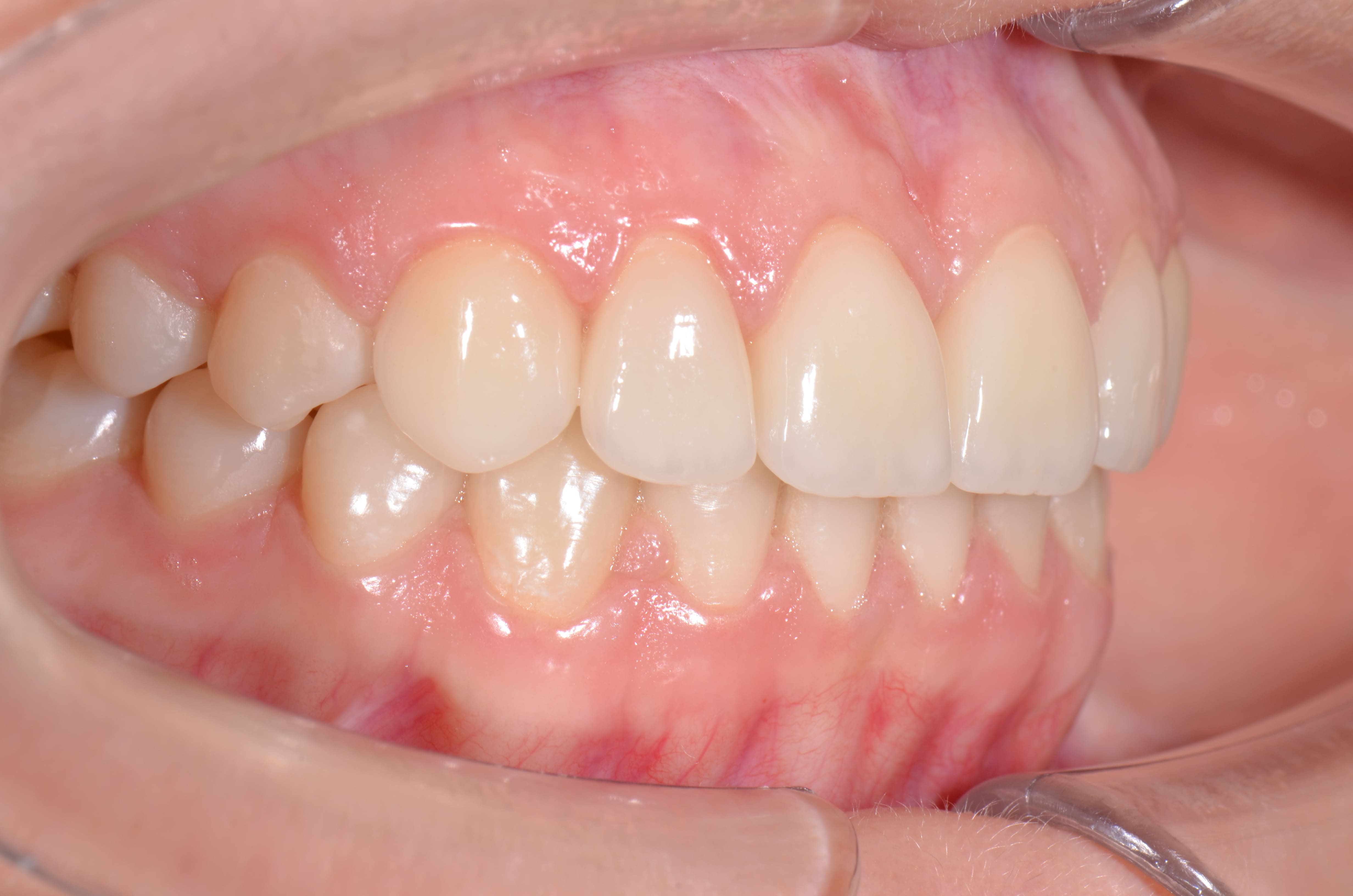
До
После
Как мы помогли пациенту
В «Архитектор Улыбок» не подходят к лечению шаблонно. Первым делом мы провели комплексную диагностику, чтобы разобраться в ситуации детально.
1 Этап. Диагностика и планирование.
Составили детальный, поэтапный план лечения. Главная цель была не просто «сделать красиво», а восстановить правильную функцию жевания и создать идеальную эстетику, учитывая анатомию зубов пациентки.
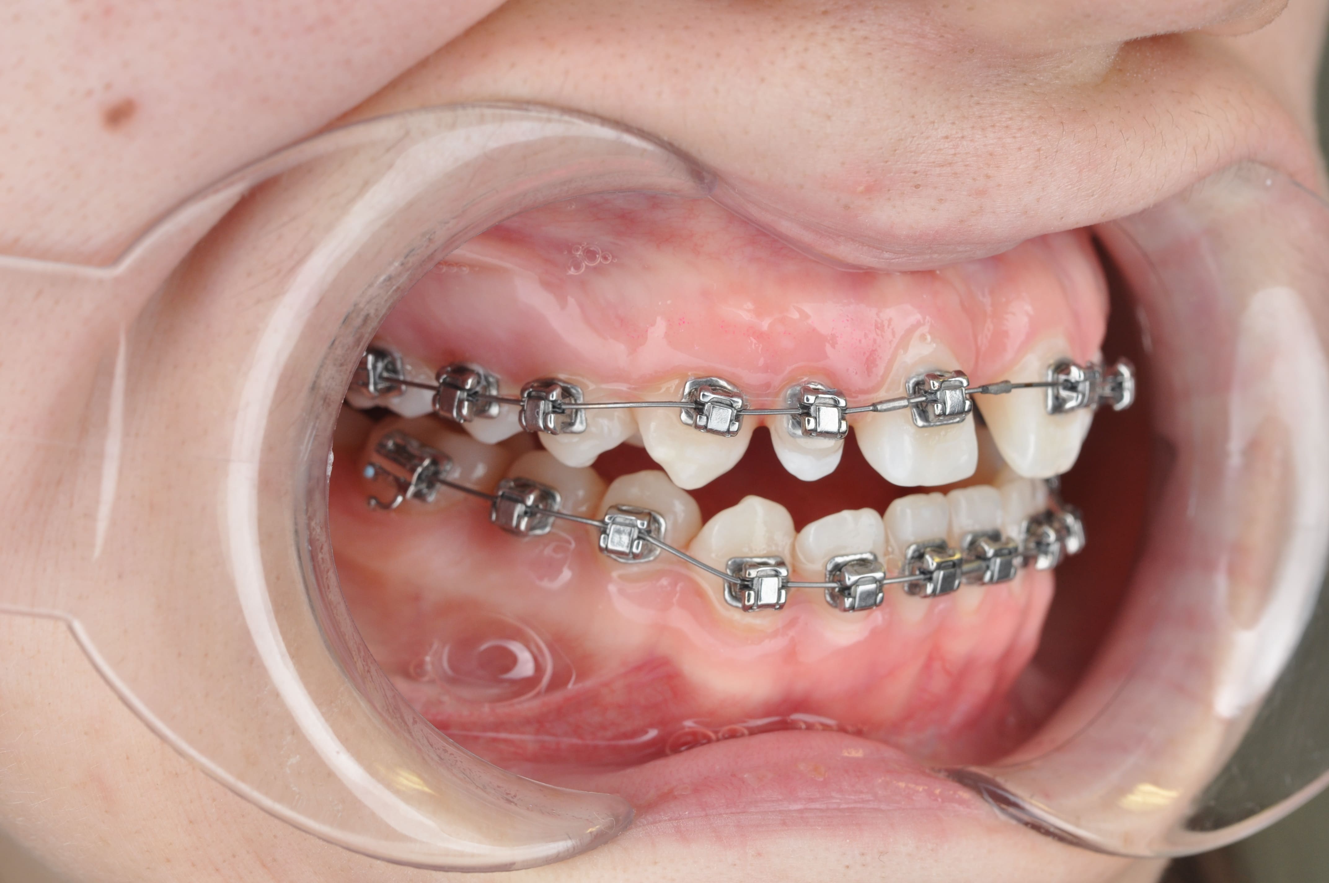
Этап 2. Ортодонтическая подготовка.
Чтобы виниры встали идеально и служили долго, сначала необходимо было исправить прикус и выровнять зубы. Лечение проходило на современной самолигирующей брекет-системе.
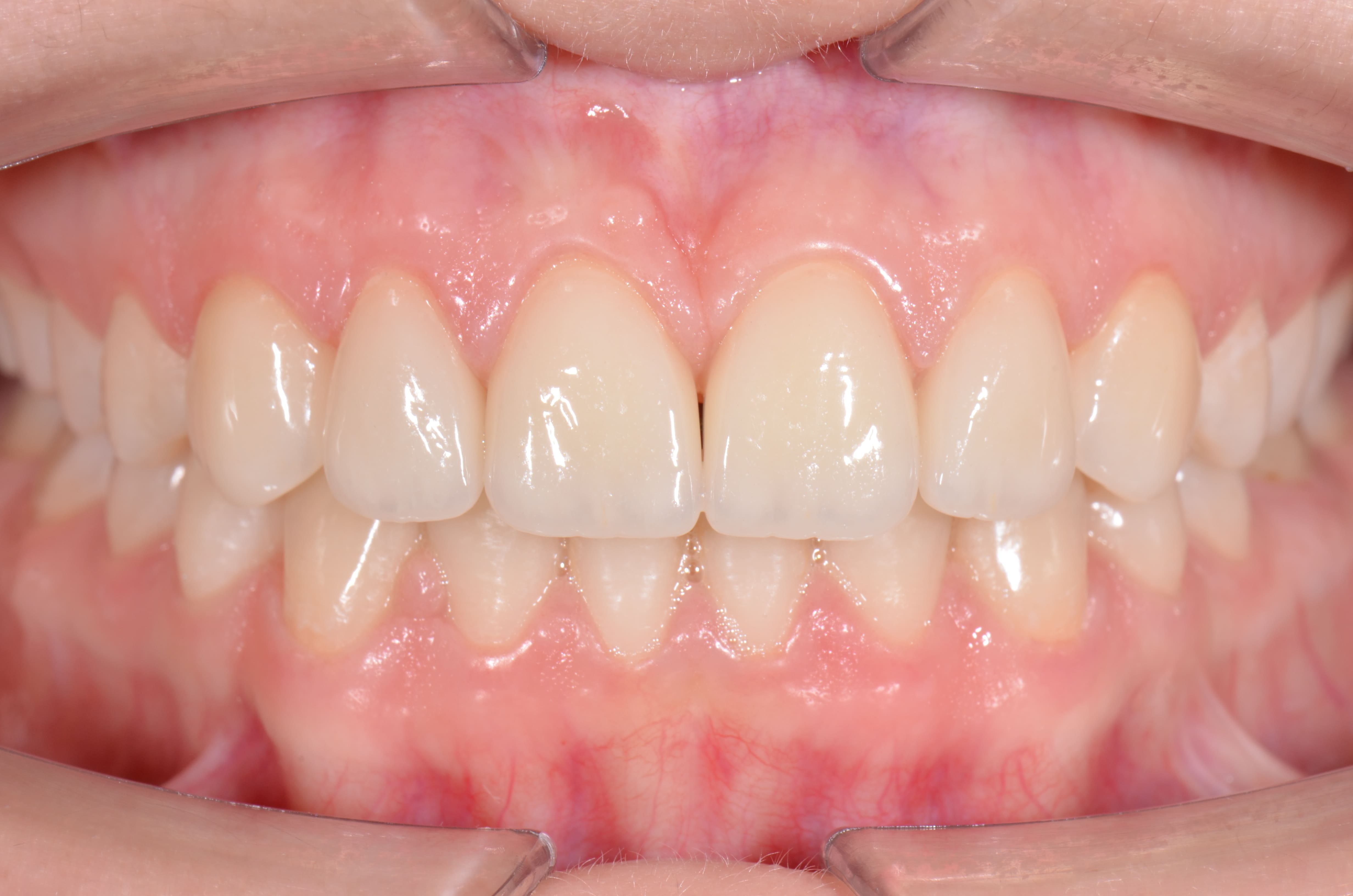
Этап 3. Эстетическая реставрация.
После того как зубы заняли правильное положение, мы приступили к финальному этапу — установке керамических виниров. Реставрации были изготовлены с учетом индивидуальных особенностей смыкания зубов (в прикус).
Результаты комплексного лечения
Индивидуальный подход и слаженная работа команды врачей «Архитектор Улыбок» дали потрясающий результат:
- У Адили теперь не только эстетичная, но и здоровая улыбка. Прикус исправлен, ушел дискомфорт в процессе приема пищи.
- Улыбка обрела гармоничные пропорции. Мы закрыли проблему микродентии, увеличив объем зубов с помощью керамики до анатомически их правильной формы.
- Но главный результат для нас — счастье пациента. Адиля перестала стесняться, она стала улыбаться чаще и ее жизнь заиграла новыми яркими красками!
До
После
До
После
КОНТАКТЫ
Режим работы:
Пн. - Сб. с 9:00 до 20:00
Вс. - выходной
Пн. - Сб. с 9:00 до 20:00
Вс. - выходной
Адрес: Казань, ул. Аделя Кутуя, 145Б, корп. 2
ИМЕЮТСЯ ПРОТИВОПОКАЗАНИЯ.
НЕОБХОДИМА КОНСУЛЬТАЦИЯ СПЕЦИАЛИСТА.
Все права на публикуемые материалы на сайте принадлежат ООО «Альбина». Посоветуйтесь с врачом. Информация, размещенная
на сайте не должна использоваться для самостоятельной диагностики и лечения и не заменяет очную консультацию врача.
Указанные на сайте цены не являются публичной офертой.
ООО «Альбина» Политика конфиденциальности. Согласие на обработку персональных данных. Лицензии.
НЕОБХОДИМА КОНСУЛЬТАЦИЯ СПЕЦИАЛИСТА.
Все права на публикуемые материалы на сайте принадлежат ООО «Альбина». Посоветуйтесь с врачом. Информация, размещенная
на сайте не должна использоваться для самостоятельной диагностики и лечения и не заменяет очную консультацию врача.
Указанные на сайте цены не являются публичной офертой.
ООО «Альбина» Политика конфиденциальности. Согласие на обработку персональных данных. Лицензии.
Текст обладает структурой