Сабирова Рамиля Рафисовна
Сабирова
Рамиля Рафисовна
Рамиля Рафисовна
СТОМАТОЛОГ - ТЕРАПЕВТ
СПЕЦИАЛИЗАЦИЯ:
Стоматолог-терапевт, микроскопист Сабирова Рамиля Рафисовна специализируется на современном лечении зубов от кариеса и эстетическом восстановлении улыбки.
Принимает пациентов старше 15 лет.
Основное направление — эндодонтическое лечение зубов под микроскопом. Рамиля Рафисовна владеет современными методиками первичного и повторного эндодонтического лечения, включая извлечение фрагментов инструментов из корневых каналов и лечение осложнённых клинических случаев.
Отдельное направление в практике Рамили Рафисовны — эстетическая и функциональная реставрация зубов. Врач восстанавливает форму, прочность и естественный внешний вид композитным материалом как фронтальной, так и жевательной группы зубов после кариозных поражений или механических повреждений.
В работе Сабирова Рамиля Рафисовна использует современные технологии, внимательное отношение к деталям и всегда находит индивидуальный подход к каждому пациенту.
Принимает пациентов старше 15 лет.
Основное направление — эндодонтическое лечение зубов под микроскопом. Рамиля Рафисовна владеет современными методиками первичного и повторного эндодонтического лечения, включая извлечение фрагментов инструментов из корневых каналов и лечение осложнённых клинических случаев.
Отдельное направление в практике Рамили Рафисовны — эстетическая и функциональная реставрация зубов. Врач восстанавливает форму, прочность и естественный внешний вид композитным материалом как фронтальной, так и жевательной группы зубов после кариозных поражений или механических повреждений.
В работе Сабирова Рамиля Рафисовна использует современные технологии, внимательное отношение к деталям и всегда находит индивидуальный подход к каждому пациенту.
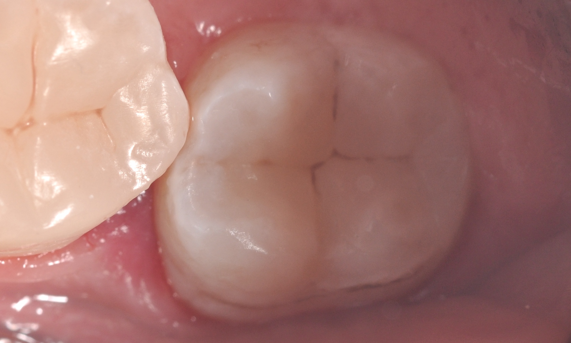
ПРИМЕРЫ ЛЕЧЕНИЯ
Пациенты Сабировой Р.Р.
До
После
До
После
До
После
ПРАЙС-ЛИСТ
| ТЕРАПИЯ ПОД МИКРОСКОПОМ | Стоимость |
| Реставрация | |
| Восстановление зуба пломбой под контролем микроскопа. Эстетическая реставрация (разрушенность менее 50%) | 15 500 ₽ |
| Восстановление зуба пломбой под контролем микроскопа. Эстетическая реставрация (разрушенность более 50%) | 16 500 ₽ |
| Лечение кариеса | |
| Восстановление зуба пломбой под контролем микроскопа. Разрушенность менее 50% | 14 000 ₽ |
| Восстановление зуба пломбой под контролем микроскопа. Разрушенность более 50% | 15 000 ₽ |
| Восстановление зуба пломбой под контролем микроскопа. Разрушенность более 50% (под коронку) | 15 000 ₽ |
| КОНСУЛЬТАЦИЯ СПЕЦИЛИСТА | Стоимость |
| Прием (осмотр, консультация) стоматолога-терапевта первичный | 1 000 ₽ |
Дополнительное образование
ИМЕЮТСЯ ПРОТИВОПОКАЗАНИЯ.
НЕОБХОДИМА КОНСУЛЬТАЦИЯ СПЕЦИАЛИСТА.
Все права на публикуемые материалы на сайте принадлежат ООО «Альбина». Посоветуйтесь с врачом. Информация, размещенная
на сайте не должна использоваться для самостоятельной диагностики и лечения и не заменяет очную консультацию врача.
Указанные на сайте цены не являются публичной офертой.
ООО «Альбина» Политика конфиденциальности. Согласие на обработку персональных данных. Лицензии.
НЕОБХОДИМА КОНСУЛЬТАЦИЯ СПЕЦИАЛИСТА.
Все права на публикуемые материалы на сайте принадлежат ООО «Альбина». Посоветуйтесь с врачом. Информация, размещенная
на сайте не должна использоваться для самостоятельной диагностики и лечения и не заменяет очную консультацию врача.
Указанные на сайте цены не являются публичной офертой.
ООО «Альбина» Политика конфиденциальности. Согласие на обработку персональных данных. Лицензии.
Текст обладает структурой